膝盖疼·到东坡 一家无需家属陪护的医院

在线预约拍片

首页 > 治疗项目 > 骨性关节炎 >

得了骨性关节炎,膝关节间隙变窄是怎么回事?

阅读次数:3
膝关节骨性关节炎是最常见的关节炎类型。膝关节骨性关节炎的发生、发展是关节软骨逐渐磨损的一个过程,导致骨头和骨头之间直接的撞击。这时会出现膝关节间隙变窄。膝关节关节间隙不光是由软骨构成,而其还有膝关节内的关节液。关节软骨比骨要软。膝关节关节滑液是一种稠厚的液体。关节液能够帮助润滑关节,帮助缓冲膝关节的震荡。当我们逐渐变老后,我们的膝关节就不如年轻时那么润滑了,逐渐导致关节间隙的狭窄。

骨性关节炎如何治疗>>             骨骼情况评估>>

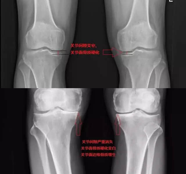
膝关节早期”退行性改变“可无相应症状,而中、晚期”退行性改变临床常表现为关节局部疼痛不适、活动不灵活、肿胀变形,甚至在关节活动时可听见“咔咔”摩擦音或可以摸到关节活动时的摩擦感;
而在膝关节负重正位X线片上,常可以看见膝关节间隙变窄,关节表面骨质硬化变白,关节面边缘骨质增生、骨赘形成等等,膝关节免费拍片检查>>

膝关节骨性关节炎患者的主要表现是什么呢?
膝关节骨性关节炎患者主要表现为走路、上下楼、站起时膝关节出现疼痛。还有的膝关节骨性关节炎朋友说能够听到膝关节里面有响声,较严重的膝关节骨性关节炎患者还会出现膝关节屈曲和膝关节伸直困难。
如何判断您是不是得了膝关节骨性关节炎呢?
我们一般首先会寻找膝关节骨性关节炎的表现标志,比如摩擦音——在活动膝关节时可能会感觉到这种声音。还有就是有的患者膝关节会出现肿胀或感觉到膝关节发胀。发胀是由于炎性关节液在膝关节里面积聚导致的。膝关节X线片可以发现膝关节间隙变窄,可以发现骨赘,还有异常的骨过度生长。这都是和膝关节软骨磨损和关节润滑液减少有关。
有哪些常见的治疗膝关节骨性关节炎的方法呢?
主要有药物、体育锻炼、关节内注射、关节镜手术、人工全膝关节置换手术等方法。
如果药物、锻炼、关节内注射、关节镜的办法都没有很好的效果怎么办?
如果药物、锻炼、关节内注射、关节镜的办法都没有很好的效果,关节间隙已经很狭窄甚至消失,那么我们推荐进行人工全膝关节置换手术。日本1.3亿人,每年6万个膝关节因为疼痛、肿胀、活动受限、残疾进行人工全膝关节置换手术。
在莲池骨科医院,每年也有越来越多的膝关节骨性关节炎患者通过人工全膝关节置换手术来解决膝关节疼痛和不能行走的问题。
★您有任何疼痛问题,都可以直接和我们在线交流。
温馨提示:以上内容仅作为参考,不针对任何患者或病情。出于对病人 的负责,在不清楚患者的详细病症情况时,我们不做治疗方面的建议。
 

扫一扫

官方客服微信加为好友

免费预约通道