膝盖疼·到东坡 一家无需家属陪护的医院
关节软骨损伤 是运动爱好者及运动员的常见疾病。“如何预防及治疗软骨损伤”也是运动新人最爱问的问题。
以下文字概述关节软骨损伤的发生、损伤及治疗的一般知识。
Q1: 什么是关节软骨损伤?
“关节软骨” (articular cartilage)这个名词常常被非医学从业者误解。因为人体内的软骨有三种类型:关节软骨(又称透明软骨,覆盖在关节表面),纤维软骨(如半月板,椎间盘),及弹性软骨(如外耳廓)。这三种软骨的结构、延展性及强度均不同。
在某些关节(如膝关节),不仅有关节软骨也有纤维软骨(半月板)参与 (图1)。如果单纯半月板的损伤也可以称为“软骨损伤”。而关节软骨损伤特指覆盖关节面的透明软骨损伤。
图1:膝关节的韧带、骨及软骨结构。注意覆盖在大腿骨远端关节面的白色关节软骨。
关节软骨是一种复杂的特殊结构覆盖在组成关节的骨端。其功能是为关节在一定范围的活动(Range of motion)提供一种低摩擦的接触表面,并可缓冲关节活动过程中的冲击力。关节软骨虽然是一层很薄的结构,但仍然可以分成5种不同的层次,每层的结构及生化特性各有不同。
Q2: 关节软骨是如何损伤?
关节软骨的损伤可以是急性创伤所致,也可以是慢性退变的结构。关节软骨没有血管供应,所以一旦发生急性浅层软骨损伤,往往很难自愈。而如果软骨损伤深达下方的骨质,下方骨质内部血管可为软骨损伤提供血供,有助于软骨愈合 (图2)。
图2:关节镜下可见软骨损伤后暴露的骨质结构。
有时软骨损伤所形成的软骨碎片会从关节表面脱落,脱落的软骨组织会在关节腔内自由活动,故又称游离体(loose body),游离体可能影响关节的正常活动 (图3)。
图3:关节镜下可见关节内游离体。
慢性软骨损伤多伴随人体老化,软骨的正常结构发生改变,其功能也逐渐散失。最初的结构变化是软骨变软,接着软骨局部会发生脱落(fragementation)。当软骨面消失时,软骨下方的骨质暴露,骨与骨的直接接触、摩擦会进而发展成骨性关节炎(osteoarthritis)(图4)。
图4:正常膝关节与骨关节炎的膝关节对比。
骨性关节炎的发展过程包括下述三阶段:
目前,骨性关节炎的发病的真正病因尚不明确。研究表明:正常范围、正常幅度的关节运动并不增加发病风险。其他因素,如高强度扭转运动,关节畸形,关节不稳,肌力不足及其他医学、遗传因素均与骨性关节炎的发病相关。
Q3: 我(病人)如何知道自己的软骨损伤了没?
很多软骨损伤的病例会伴有关节的肿胀及隐痛,而且正常的关节活动将无法进行。如果存在关节内游离体,关节可能会有交锁(locking; catching)症状(如膝关节做屈伸时突然卡住,活动不能)。在慢性软骨退变的病例,往往伴有关节僵硬,关节活动度下降,关节肿痛等。
Q4: 医师是如何诊断关节软骨损伤?
专科医师会检查患病关节,检查关节活动度,有无肿胀,关节内有无积液,关节的力线是否正常(如膝关节有无X形腿、O形腿等)。但仅通过医师的体格检查,往往很难诊断软骨损伤,明确诊断常常需要借助于核磁共振检查(MRI)甚至是微创的关节镜检查 (图5)。X光片(又称平片)对于诊断软骨损伤帮助不大(软骨在X光片中不显影),但仍可用来排除其他病变的可能。
图5:正常及损伤软骨MRI对比。
Q5: 何时需要做手术来修复软骨损伤/缺损?
浅层的软骨损伤通常无法自愈,而软骨损伤深达骨质可以部分修复,然而自我修复的组织与正常软骨组织不同,往往无法支持关节的正常活动。直径< 2 cm的软骨缺损预后较好,常常是手术的选择目标。手术多通过去除损伤的软骨层,并且通过在骨质打孔等方法增加软骨损伤部位的血供,提供自我修复的环境。而直径更小的软骨损伤往往无症状,通常不需要手术干预。更大的软骨缺损优势可以移植其他部位的软骨来修复病损的软骨组织。对于不同部位,不同类型的软骨损伤,需咨询专科医师制定针对性的治疗方案。
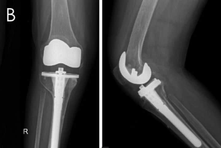
对于已经进展至骨性关节炎的病人,可采用:非手术治疗 + 手术的阶段化治疗。非手术治疗方式包括:物理治疗,改变生活方式(如减轻体重,减少关节活动),口服或注射药物(如止痛药物、软骨保护药物等)。手术治疗方式包括:截骨矫形及关节置换 (图6)。

图6:截骨矫形(A);膝关节置换(B)。