膝盖疼·到东坡 一家无需家属陪护的医院
我想查查有没有关节炎,到医院该做什么检查呢?
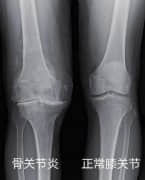
关节疼痛是怎么回事?骨关节炎是什么原因引起的?
引起骨关节炎的原因
半月板的告白:让我一生守护你的膝盖
膝关节骨性关节炎的部分症状和原因
骨刺还是骨关节炎?这个是值得思考的问题
关节积液是怎样出现的?应该怎样治疗和预防?
关节炎跟年龄有关系吗?
得了膝关节炎,还能跑步运动锻炼身体吗?
股骨头坏死如何预防治疗?