膝盖疼·到东坡 一家无需家属陪护的医院
且行且珍膝,膝关节的专业保养,自己就能搞定(真人动画指导)
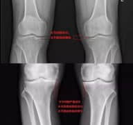
得了骨性关节炎,膝关节间隙变窄是怎么回事?
保守还是手术,膝关节骨性关节炎如何选择治疗的方式?
膝关节骨关节炎的阶梯治疗
膝关节骨关节炎的保守治疗措施
莲池骨科带你了解“膝关节创伤性滑膜炎”
骨性关节炎分为哪些种类?
跑步和坐着不动哪个更伤关节?您知道吗?
膝关节炎越来越严重,会瘫痪吗?
膝盖不好,寸步难行,保护膝盖,重在预防